Видео лапароскопических операций
лучших хирургов мира
стать участником клуба
Видео операций

ГлавнаяНовостиЗарубежные мастер - классы«Аппаратная хирургия желудочно-кишечного тракта. Лапароскопическая внеслизистая кардиомиотомия по Геллеру в модификации клиники и лапароскопическая холецистэктомия по технологии s.i.l.s.»

Новости

География участников

Образование

Обучение

Полезные разделы для студентов и начинающих специалистов

перейти

События

19.02.2018 «Открыта регистрация участников Клуба»

К регистрации приглашаются медицинские специалисты и студенты профильных учебных заведений. Регистрация бесплатна!

Подробнее

«Аппаратная хирургия желудочно-кишечного тракта. Лапароскопическая внеслизистая кардиомиотомия по Геллеру в модификации клиники и лапароскопическая холецистэктомия по технологии s.i.l.s.»

01.12.2015

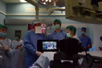
Профессор Пучков К. В. выполнил показательные операции с трансляцией из операционной.





19 и 20 ноября 2015 года на базе Университета Sapienza (Италия, г. Рим) прошел 26 Всемирный Конгресс хирургов, посвященный операциям на органах желудочно-кишечного тракта. В этом году участниками конференции стали более 3000 хирургов, кроме того по всему миру трансляции операции наблюдали около 13000 человек. В ходе конференции ее участники имели уникальную возможность в режиме реального времени наблюдать за операциями из 15 различных стран мира – США, Франция, Белья, Италия, Германия и тд.

Конференция дала уникальную возможностью сопоставления, обсуждения и корректировки различных техник операционных вмешательств. Показ операций со всего мира в режиме реального времени с прекрасным аудиовизуальным качеством позволил участникам конференции увидеть и осознать каждую деталь, а также получить уточняющую информацию непосредственно от хирурга. Специалисты со всего мира могли наблюдать за виртуозной работой практикующих хирургов при помощи Интернета на сайте www.laparoscopic.it

На форуме было организовано около 100 телемостов из ведущих мировых клиник. Были показаны как традиционные, так и лапароскопические операции. В качестве эксперта от России выступал профессор Пучков К. В., который выполнил 2 показательные операции с трансляцией из операционной Швейцарской университетской клинки (г. Москва) в зал конференции в Риме (Италия): лапароскопическая внеслизистая кардиомиотомия по Геллеру в модификации клиники и лапароскопическая холецистэктомия через единый лапароскопический доступ (технология SILS).

Наша задача — организовать научную конференцию высокого уровня и дать участникам возможность узнать что-то новое, обновить свои знания, чтобы использовать их в научной и практической работе», — сказал на открытии форума профессор Джорджо Палаззини (LA SAPIENZA University of Rome). Он высоко оценил работу Российского хирурга Константина Пучкова.

Dear Prof Puchkov!

We thank you for the very interesting interventions. Both operations have been very much apreciated from the audience.

We are looking forward to seeing you and show your excellent work at the next year Congress.

Best regatа

Giorgio Palazzini


Программа мастер-класса

Caro Collega,
come saprai il nostro tradizionale Congresso di Chirurgia dell’Apparato Digerente giunge quest’anno alla sua 26a edizione ed avrà luogo nella abituale sede dell’Auditorium del Massimo.

Proprio in questo novembre cade inoltre una importantis￾sima ricorrenza per il Congresso: 30 anni dalla sua nascita, che avveniva proprio nel novembre 1985. 30 anni di successi, durante i quali il Congresso si è svi￾luppato fino a raggiungere l’odierna importanza sia nel panorama Nazionale che Internazionale, con l’augurio che continui la sua crescita per offrirTi un sempre più elevato livello di contenuti, contornato da un sempre più elevato livello di servizi tecnologici.

Il nostro obiettivo è quello di presentarTi un Congresso di divulgazione scientifica di alto livello, in grado di mostrare il punto sulla chirurgia digestiva sia con tecnica open che con approccio laparoscopico e di esporre nuove tematiche e aggiorna-menti sia scientifici che pratici. Per raggiungere questo scopo vogliamo offrirTi le opinioni e le ricerche di affermati chirurghi, sia italiani che stranieri. Sono previste, infatti, sessioni di relazioni, tavole rotonde, simposi.

La Chirurgia in diretta sarà, come di consuetudine, il fiore all’occhiello dell’evento. Ti prospettiamo una vera e propria maratona di videochirurgia sviluppata in 2 gior￾nate di dirette dalle sale operatorie di tutto il mondo. Grazie alle più moderne ed efficienti tecnologie alcune trasmissioni video saranno effettuate con l’innovativa tecnica HD - High Definition e saremo in grado di offrire collegamenti con le Sale Operatorie dei 5 continenti: Stati Uniti, Giappone, Francia, Inghilterra, Belgio, Olanda, Svezia, Spagna, Portogallo, Australia, Cina, Corea, Singa￾pore, Sud Africa, Argentina, ecc.

Potrai inoltre partecipare alle attività parallele al Congresso, come i Corsi di Aggior￾namento ed il Videoforum, e vincere i magnifici premi offerti dagli sponsor. Siamo convinti che il video learning sia un metodo di aggiornamento efficace e ul￾tramoderno, utilissimo a migliorare la qualità delle cure per i nostri pazienti. Convinti che la tua partecipazione all’evento è essenziale per il successo del Con￾gresso, Ti aspettiamo.

Cordialmente,
Giorgio Palazzini













19 NOVEMBRE 2015

7.45 DAL MONDO: LIVE SURGERY

G. ALIPERTI (USA)
J. BARRY MCKERNANN (USA)
G. F. BEGIN (USA)
L. BOKEY (Australia)
H. JAAP BONJER (Canada)
B. CADIERE (Belgio)
R. CIMA (USA)
C. COMPTON (Spagna)
M. CONDE (Spagna)
A. D’HOORE (Austria)
G. DAPRI (Belgio)
E. DOZOIS (USA)
J. L. DULUCQ (Francia)
J. M. FABRE (Francia)
A. FICHERA (USA)
C. R. FINLEY (USA)
T. HACKERT (Germania)
H. HASEGAWA (Giappone)
P. HEWETT (Australia)
K. HYUNG-HO (Korea)
W. JIN HYUNG (Giappone)
M. IMAMURA (Giappone)
C. KAREL (Austria)
J. KRISTINSSON (Norvegia)
A. LACY (Spagna)
J. LEROY (Francia)
Y. MIURA (Giappone)
P. NOEL (Francia)
R. PETACHIA (Israele)
K. PUCHKOV (Russia)
A. SANCHEZ-PERNAUTE (Spagna)
F. SHOICHI (Giappone)
Y. SPILIOPOULOS (Grecia)
H. VAN DER WALT (Sud Africa)
S. WEXNER (USA)
J. ZHU-MING (Cina)

14.30 DAL MONDO: LIVE SURGERY

G. ALIPERTI (USA)
J. BARRY MCKERNANN (USA)
G. F. BEGIN (USA)
L. BOKEY (Australia)
H. JAAP BONJER (Canada)
B. CADIERE (Belgio)
R. CIMA (USA)
C. COMPTON (Spagna)
M. CONDE (Spagna)
A. D’HOORE (Austria)
G. DAPRI (Belgio)
E. DOZOIS (USA)
J. L. DULUCQ (Francia)
J. M. FABRE (Francia)
A. FICHERA (USA)
C. R. FINLEY (USA)
T. HACKERT (Germania)
P. HEWETT (Australia)
C. KAREL (Austria)
J. KRISTINSSON (Norvegia)
A. LACY (Spagna)
J. LEROY (Francia)
P. NOEL (Francia)
R. PETACHIA (Israele)
K. PUCHKOV (Russia)
A. SANCHEZ-PERNAUTE (Spagna)
Y. SPILIOPOULOS (Grecia)
H. VAN DER WALT (Sud Africa)
S. WEXNER (USA)

20 NOVEMBRE 2015

8.00 DAL MONDO: LIVE SURGERY

G. ALIPERTI (USA)
J. BARRY MCKERNAN (USA)
G. F. BEGIN (USA)
L. BOKEY (Australia)
H. JAAP BONJER (Canada)
B. CADIERE (Belgio)
R. CIMA (USA)
C. COMPTON (Spagna)
M. CONDE (Spagna)
A. D’HOORE (Austria)
G. DAPRI (Belgio)
E. DOZOIS (USA)
J. L. DULUCQ (Francia)
J. M. FABRE (Francia)
A. FICHERA (USA)
C. R. FINLEY (USA)
T. HACKERT (Germania)
H. HASEGAWA (Giappone)
P. HEWETT (Australia)
M. IMAMURA (Giappone)
W. JIN HYUNG (Giappone)
C. KAREL (Austria)
K. HYUNG-HO (Korea)
J. KRISTINSSON (Norvegia)
A. LACY (Spagna)
J. LEROY (Francia)
Y. MIURA (Giappone)
P. NOEL (Francia)
R. PETACHIA (Israele)
K. PUCHKOV (Russia)
A. SANCHEZ-PERNAUTE (Spagna)
F. SHOICHI (Giappone)
Y. SPILIOPOULOS (Grecia)
H. VAN DER WALT (Sud Africa)
S. WEXNER (USA)
J. ZHU-MING (Cina)

14.30 DAL MONDO: LIVE SURGERY

G. ALIPERTI (USA)
J. BARRY MCKERNAN (USA)
G. F. BEGIN (USA)
L. BOKEY (Australia)
H. JAAP BONJER (Canada)
B. CADIERE (Belgio)
R. CIMA (USA)
C. COMPTON (Spagna)
M. CONDE (Spagna)
A. D’HOORE (Austria)
G. DAPRI (Belgio)
E. DOZOIS (USA)
J. L. DULUCQ (Francia)
J. M. FABRE (Francia)
A. FICHERA (USA)
C. R. FINLEY (USA)
T. HACKERT (Germania)
P. HEWETT (Australia)
C. KAREL (Austria)
J. KRISTINSSON (Norvegia)
A. LACY (Spagna)
J. LEROY (Francia)
P. NOEL (Francia)
R. PETACHIA (Israele)
K. PUCHKOV (Russia)
A. SANCHEZ-PERNAUTE (Spagna)
Y. SPILIOPOULOS (Grecia)
H. VAN DER VALT (Sud Africa)
S. WEXNER (USA)

Фото с проведенного мастер-класса:


Dear , prof. K. Puchkov

The 26th Conference on Digestive System Surgery, which I chaired, has just ended.

This year we were able to achieve 34 connections from all over the world.

Interesting as always, the 47 connections from the main Italian hospitals, from where 185 Live Surgery operations were broadcasted globally.

The Live Surgery sessions showed us innovative techniques and topics about the role of technology in surhery in order to guarantee a high standard of excellence, improving consequently, the patients’ quality of life.

Our “annual meeting” is a unique event in the Surgery field and the huge number of colleagues participating in the sessions underlines the high quality of the Conference.

During this edition 1911 participants attended the Conference and up to 7.000 colleague followed the conference in streaming through our website.

The “Laparoscopic” conference website was visited by more than 23.000 users in the week preceding the conference and 150.000 from January 2015.

Please find below the link at the 26th Conference on Digestive System video:

https://youtu.be/7bgsWBO2zwI

Trusting that the 2016 edition of the Conference will maintain the same high quality reached, I would like to thank you for your collaboration which is of utmost importance to guarantee the overall success of the Conference.

Best Regards, Prof. Giorgio Palazzini.